Лимфогенный паротит

Лимфогенный паротит — серозное воспаление лимфатических узлов, расположенных внутри околоушной слюнной железы. По данным непроверенного источника в 1926 году Р. Герценберг в своей работе «Zur Pathogenese der wirklichen und Pseudoparotitiden» предложил термин «псевдопаротит». Идентичная информация содержится в Википедии. Исходный вариант найти не удалось. Упоминание Р. Герценберга активно распространено на территории РФ и стран бывшего СНГ, в западной литературе не встречается.
Этиология и патогенез
Заболевание может развиваться на фоне затруднённого прорезывания второго и третьего моляров, осложнившегося гнойным перикоронитом, гнойных периодонтитов, периоститов и ограниченных остеомиелитов в области этих же зубов. Источником инфекции также могут служить воспалительные процессы в зеве, носоглотке, корне языка, щеке, верхней губе. Инфекционные агенты из первичного очага лимфогенным путём распространяются в лимфатические узлы. Они являются своеобразными фильтрами, где очищается лимфа. В ответ на чрезмерное поступление инфекционных агентов происходит миграция лейкоцитов и макрофагов в лимфатический узел, образуются лимфоциты. Гибель лейкоцитов в лимфатическом узле означает переход из серозного воспаления в гнойное. Большое количество погибших клеточных элементов разрушает капсулу лимфатического узла, гной распространяется на слюнную железу.
Клиническая картина
Общее состояние удовлетворительное. Температура тела может быть повышена до 38°С. Со стороны поражения характерна припухлость, покраснение кожи в области околоушной слюнной железы, болезненность. Характерной особенностью является одностороннее поражение лимфатических узлов. По мере распространения воспалительного процесса на жевательную мышцу появляется затруднённое открывание рта, трудности при пережёвывании пищи.

При пальпации обнаруживается болезненное ограниченное уплотнение. Характерен постепенный рост в течение 2–3 недель. При осмотре полости рта можно увидеть причину заболевания. Нарушения секреции слюнной железы не выявляется. Дальнейшее течение заболевания зависит от своевременно оказанного лечения. В случае вовремя поставленного диагноза и начатого лечения прогноз благоприятен. Воспалительные изменения исчезают постепенно и полностью проходят к 3–4 неделе.
В случае, если помощь не была оказана, могут быть два исхода:
- Первый вариант: возникает абсцесс, который вскрывается в проток слюнной железы. Получившийся гной выделяется через устье выводного протока в ротовую полость, смешиваясь с секретом. Слюна становится вязкой, мутной, её количество может снижаться. При этом воспалительные изменения в области железы медленно стихают, припухлость остаётся в течение нескольких недель.
- Второй вариант: воспалительный процесс распространяется на ткань слюнной железы и далее на кожные покровы. Боль и покраснение усиливаются, кожа спаивается с инфильтратом. Железа может абсцедироваться с последующим вскрытием на коже.
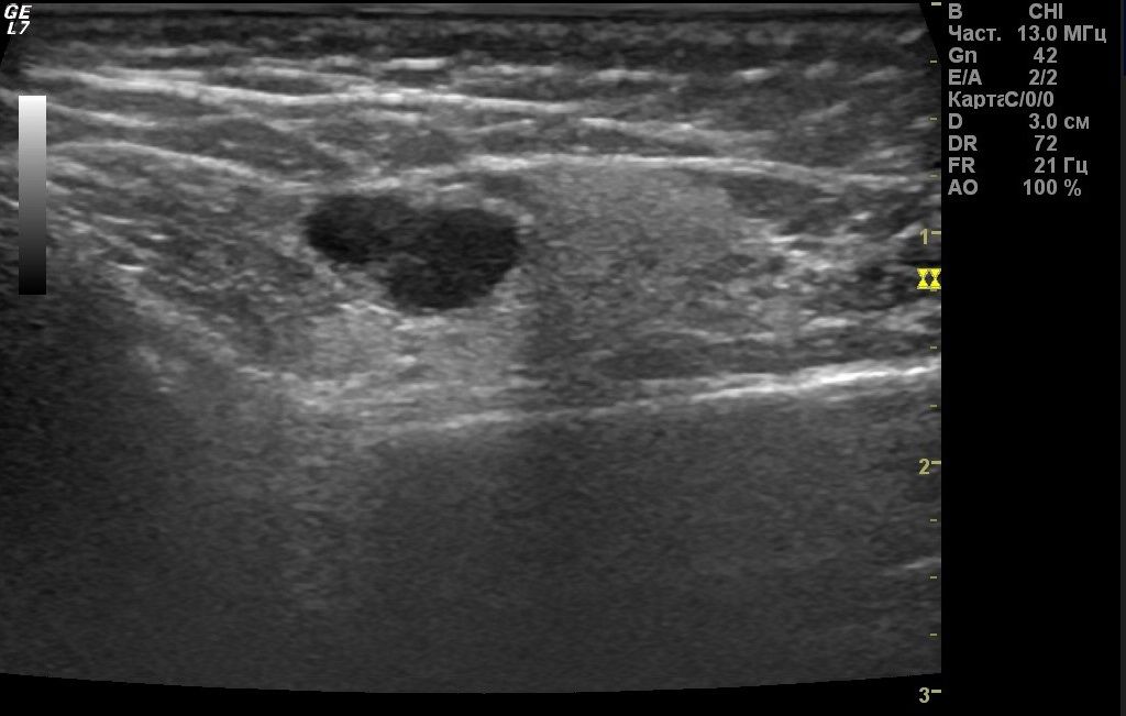
Лабораторная диагностика
Наиболее эффективным и доступным является УЗИ. Данный метод исследования позволяет выявить в паренхиме железы гиперэхогенные участки, соответствующие воспаленным лимфатическим узлам.


Дифференциальная диагностика
Сложность состоит в том, что внешне лимфогенный паротит очень схож с эпидемическим паротитом. Основным отличием является характерная для лимфогенного паротита односторонность поражения на фоне гнойной инфекции в полости рта. Эпидемический паротит может протекать с фебрильной температурой, длительной лихорадкой и выраженными симптомами общей интоксикации, наличием осложнений. Нарушается секреция слюнной железы. Также стоит дифференцировать с сиалолитиазом. Для него характерно ощущение распирания железы во время приема пищи, боль — симптом «слюнной колики». Они связаны с ретенцией слюны и проходят самопроизвольно через несколько минут. При пальпации по ходу протока слюнной железы определяется небольшое уплотнение, болезненность. Устье протока зияет.
Лечение
Первоочерёдно необходимо устранение причины распространения инфекции: иссечение слизистого капюшона в области прорезывающегося зуба, лечение периодонтита, периостита, etc. Симптоматически ежедневно проводится тщательная гигиена полости рта, полоскание антисептическими растворами. Рекомендовано щадящее питание. Пища не должна быть горячей и твёрдой. При нагноении производится разрез с учётом анатомо-физиологических особенностей локализации ветвей тройничного нерва, назначаются антибиотики.
Источники:
-
Хирургическая стоматология. Воспалительные и дистрофические заболевания слюнных желез: учеб. пособие / под ред. А. М. Панина. - М.: Литтерра, 2011.
-
Псевдопаротит Герценберга [Электронный ресурс]. – Режим доступа: http://ultrasonogram.ru/face-head/salivary/herzenbergs-pseudo-parotitis, свободный. – Загл. с экрана.
-
Эпидемический паротит [Электронный ресурс]. – Режим доступа: http://www.infectology.ru/nosology/infectious/viral/parotit_epid.aspx, свободный. – Загл. с экрана.
-
Ложный паротит Герценберга: Современное состояние проблемы диагностики и лечения [Электронный ресурс]. – Режим доступа: http://www.fesmu.ru/elib/Article.aspx?id=311322, свободный. – Загл. с экрана.